品牌 列表

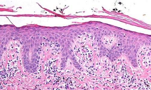
为皮肤起癣的原因做减法,让真菌迅速远离

身上起癣是什么原因?当真菌侵袭头部或身体的皮肤外层时就会出现真菌感染。比如个人生活习惯,卫生,饮食,以及环境恶劣,夏季温暖,雨季潮湿等都是引起癣病的源头。真菌归

应运自然 焕然而生——美丽田园平衡修护水氧护理

春日回暖,天气却愈发干燥。肌肤呈现缺水现象,紧随而来的就是干燥、起皮、易生小痘痘等。众多美容品牌竭尽全力为爱美人士优化肌肤,进补养分,但却忽略了最基础的修护使肌

张娘烤肉加盟费需要多少钱

开张娘烤肉加盟加盟店如何才能获得更好的发展?这个问题,一直是很多餐饮店经营者关注的。美味的开张娘烤肉加盟能够受到大家的欢迎,所以对于餐饮加盟店的发展,首先需要确保味

2019平安健康(检测)中心医学高峰论坛圆满举办 共筑医学影像行业发展新生态

3月23-24日,安徽省全科医学会医学影像专业委员会第五次学术年会暨第三届平安健康(检测)中心医学高峰论坛在壮美如画的黄山圆满举行。平安健康(检测)中心总经理江颖,医疗负责

康弘药业:贡献“中国方案”、奏响“中国之声” ——“培育壮大新动能 塑造发展新优势”系列报道之五

随着我国医药工业的发展,中国已成为亚洲最大的新药研发国,同时也是全球第四大新药研发国。国内制药企业在寻求新动能,发展新优势的同时,也积极融入全球,在国际医药的舞

2018年中国公墓百强名单出炉 ——名中带“龙”的墓园更受消费者青睐

《墓政参考》、问卷网等业界权威媒体联合重磅推出的《2018中国公墓百强排行榜致敬中国公墓榜样力量》年度评选活动,于清明节前夕正式发榜。根据单项评分选出的中国公墓最具

嘿汤姆汉堡加盟费需要多少钱

对于现在的餐饮行业发展如火如荼,不管是产品、格局,还是环境方面都各有千秋。而嘿汤姆汉堡作为人们无法抗拒的美食之一已有独当一面的局势,广大食者对特色美食可谓是情有独

东软医疗收购韩国Humanscan,进一步完善全球产业链条

 2019年3月25日,东软医疗宣布与韩国Humanscan株式会社(以下简称HS)签署投资协议,正式成为该公司控股股东。    东软集团董事长兼 CEO、东软医疗董事长刘积仁博士与

体型?职业?竟然也是引发皮肤起癣的原因!

生活节奏飞速前行,伴随而来的各种疾病也呈现上升趋势。世界卫生组织(WHO)宣布,皮肤病将是21世纪人类历史上发病率最高、致残率最高、传染性最强的一种疾病,而医疗数据

什么是士卓曼种植体?士卓曼种植体技术解析

士卓曼种植体在口腔治疗领域的卓越发展,为口腔医疗行业带来繁荣风口,患者对牙种植已不再陌生。但种植体种类繁多,很多种植体以次充好,为患者带来经济负担和治疗压力,也让用

康弘药业:看齐国际原研 引领一致性评价

培育壮大新动能 塑造发展新优势 系列报道之三随着世界经济的发展、人口总量的增加、社会老龄化程度的提高以及居民保健意识的增强,全球对药品的需求强劲,尤其是新兴市场

汉森九龙珠——找回年轻的自己

如果你最近有关注一系列的新闻,你可能会觉得市场越来越难做了。世界第一大直销品牌雅芳已经正式退出中国市场。年前,中国发展迅猛的第一直销品牌权健,被国家市场监管总局

医学博士任院长倾情打造中国藏医药浴商城,创新行业发展模式

前段时间,雪域高原喜传佳讯。作为世界四大古医药之一的中国藏医药索瓦日巴藏药浴(山南藏医药浴法)中国藏族有关生命健康和疾病防治的知识与实践被正式列入联合国教科文组织

   首页   上一页